Weisheitszahnentfernung

Was sind Weisheitszähne?


Das normale Gebiss des Erwachsenen besteht auf jeder Kieferseite aus zwei Schneidezähnen, einem Eckzahn, zwei Vorbackenzähnen und insgesamt drei Backenzähnen. Der Weisheitszahn ist der dritte dieser Backenzähnen und liegt in der Mundhöhle am weitesten hinten. Es ist derjenige Zahn, der in der Wachstumsphase als letzter Zahn gebildet wird. Seine Entwicklung ist häufig erst im Erwachsenenalter abgeschlossen.

Bei den meisten Menschen reicht der Platz im Kiefer für diese Weisheitszähne nicht aus, so dass sie sich häufig nicht korrekt in die Zahnreihe einordnen können. Die Zähne bleiben dann ganz oder teilweise im Kiefer eingeschlossen, man bezeichnet diesen Zustand als "retiniert".

Da dieses Problem bis zu 80 % der jungen Erwachsenen in der europäischen Bevölkerung betrifft, müssen sich die meisten Menschen früher oder später mit Frage der Zahnentfernung auseinandersetzen. Aus diesem Grunde haben wir diese Informationen für Sie zusammengestellt.

Weisheitszaehne

Welche Gefahren können von Weisheitszähnen ausgehen?

  • Die Zahnkrone ist vom Knochen durch einen kleinen Spaltraum abgegrenzt. In diesem Schlupfwinkel entstehen häufig (bei bis zu 50 %) Infektionen, die in einzelnen Fällen bis zu schweren Abszessen fortschreiten können.
  • Aus dem Umgebungsgewebe der Zahnkrone können Zysten entstehen, die mitunter große Knochendefekte verursachen.
  • Durch die Krone des Weisheitszahns bzw. das Umgebungsgewebe können die Backenzähne geschädigt und Teile der Wurzel regelrecht aufgelöst werden. In gleicher Weise kann das Zahnbett des benachbarten Backenzahnes geschädigt werden.
  • Durch die Bildung von Schmutznischen kann die Reinigung der Backenzähne erschwert sein, so dass es zu Karies am Backenzahn oder am Weisheitszahn kommen kann.
  • Der Weisheitszahn stellt eine "Schwachstelle" im Knochen dar, so dass eine gewisse Häufung von Unterkieferbrüchen an der Stelle der Weisheitszähne beobachtet wird.
  • In seltenen Fällen können aus den Umgebungsgeweben der Zahnkrone gutartige aber auch bösartige Tumoren entstehen.
  • Die Empfehlung zu einer Weisheitszahnentfernung ist immer eine individuelle Entscheidung, die Ihr(e) Behandler /Behandlerin nach Ihrer speziellen Befundlage aussprechen wird.
  • In den nachfolgenden Situationen können/sollten die Weisheitszähne belassen werden:Wenn eine spontane, regelrechte Einstellung der Weisheitszähne in die Zahnreihe zu erwarten ist. Oder wenn eine Extraktion anderer Zähne und/oder eine kieferorthopädische Behandlung mit Einordnung des Zahnes sinnvoll und von den Seiten des Patienten auch gewünscht wird. Oder wenn Weisheitszähne tief im Knochen verlagert sind und ein hohes Risiko operativer Komplikationen besteht, können Zähne ohne umgebenden krankhafte Veränderungen belassen werden.
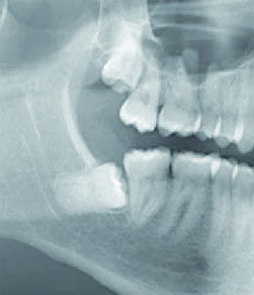
Abbildung links
Abbildung rechts

linke Abbildung: Im Knochen retinierte Weisheitszähne im Ober- und Unterkiefer. Die Krone des Weisheitszahnes liegt hier unmittelbar am zweiten Backenzahn. Der Zahnhalteapparat des benachbarten Zahnes wird so auf Dauer erheblich geschädigt.

rechte Abbildung: Zahnkeime von Weisheitszähnen im Ober- und Unterkiefer. Der unmittelbar hinter dem Zahn erkennbare Unterkieferknochen lässt erwarten, dass später nicht ausreichend Platz zur Einstellung des Zahnes vorhanden sein wird.

Wie werden Weisheitszähne üblicherweise entfernt?

Für die Entfernung von Weisheitszähnen ist im Allgemeinen eine ambulante Behandlung ausreichend. Eine stationäre Behandlung kann selten, beispielsweise bei schwerwiegenden Allgemeinerkrankungen (Blutungsneigung, Störungen der Immunabwehr) oder besonderen OP-Verläufen sinnvoll sein. Die Zahnentfernung kann pro Kieferhälfte erfolgen oder mehrere Zähne in einer Sitzung umfassen. Eine Behandlung unter Narkose oder unter beruhigenden, angstlösenden Medikamenten kann sinnvoll sein, wenn die operative Entfernung einen hohen Schwierigkeitsgrad hat oder wenn zusätzlich weitere Behandlungsmaßnahmen kombiniert werden sollen. Eine Narkosebehandlung kann auch dann medizinisch sinnvoll sein, wenn deutliche Behandlungsängste bestehen und eine Narkosebehandlung von Seiten des Patienten ausdrücklich erwünscht wird.

Bei der Weisheitszahnentfernung wird grundsätzlich angestrebt, sämtliche Anteile eines Zahnes zu entfernen. In Einzelfällen kann es aber sinnvoll sein, kleine Zahnanteile zu belassen, wenn ansonsten Nervläsionen oder unverhältnismäßige Knochendefekte in Kauf zu nehmen wären.